Can Achalasia cardia cause renal allograft rejection?
Post renal transplant patient presenting withDysphagia (difficulty in swallowing) Increasing creatinine level - likely graft rejection secondary to poor absorption of immuno-suppresive drugs.
Patient was diagnosed as achalasia cardia type-2 & was managed by a laparoscopic surgery.
Patient was diagnosed as achalasia cardia type-2 & was managed by a laparoscopic surgery.
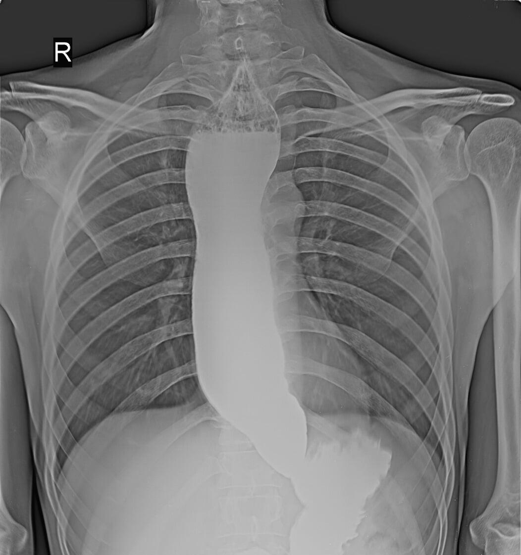
Barium Swallow
Barium Swallow
Dilated esophagus with narrowing at lower end s/o Achalasia Cardia
Upper GI Endoscopy
Upper GI Endoscopy
Manometry
Manometry
Type 2 Achalasia Cardia
Operative Video
Operative Video
Follow-up
Follow-up
Patient had a rapid postoperative recovery.Discharged on post operative day 3 on soft diet.
One month after the surgery, his serum creatinine level has normalised.
One month after the surgery, his serum creatinine level has normalised.
Learning points
Learning points
- Drug malabsorption a well known reason for kidney graft failure.
- The treatment of Achalasia Cardia depends upon the type.
- In type 1 & type 2 Achalasia Cardia - Surgery provides best results.
